Dental Crowns
Broken, worn, missing, and severely decayed teeth can make daily tasks difficult and negatively impact your quality of life. Dr. Thomas Reed places custom dental crowns to strengthen, repair, replace, or improve the appearance of your teeth.
Using CEREC® technology, Link Dental in Centennial, CO, can create and place a dental crown in a single appointment.
Strengthen a Broken or Decayed Tooth with a Custom Crown
What About Missing Teeth? Our Dentists Perform All Stages of Implant Treatment In-House
If you have a missing tooth or need one extracted, a dental crown can help with that too. Our Centennial, CO, dentists are able to place an implant, or biocompatible post, in your jaw, employing surgical guides for incredibly accurate work.
Once the implant osseointegrates, or fuses with your jawbone and gums, we can attach an abutment and restore the implant with a custom crown. You'll also enjoy added benefits with implants, like improved bone health, natural-looking aesthetics, and dependable stability.
Understanding CEREC Crowns:
Our Same-Day Solution
CEREC technology allows us to provide patients with porcelain restorations in a single visit to our office. If you're receiving a same-day crown with us, your entire appointment may take just two hours. With CEREC milling technology, there's no need to wear or pay for a temporary crown, make time for 2-3 appointments, or wait a month as a dental lab creates your crown.
We will always explore this option with you when you come to us for a porcelain crown, but sometimes coordinating your care with a dental lab is the best course of action.

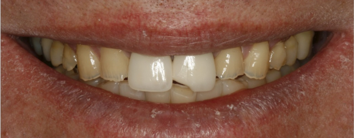
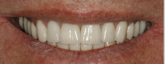
See the Power of Dental Crowns and Experience the Results for Yourself
At Our Office, We Treat You Like Family
100% the best dental experience of my life. I’ll never use any other dentist ever again, Mark Link is the best and I’m so glad I found Link Dental. Offices are really clean & professional. Showed me with great detail the issues with my tooth & how to solve for them. On a scale from 1 to 10 I rate them a 21. Thanks so much!
View On GoogleThis place is amazing- everyone is super friendly and compassionate. I am asking myself why I waited so long to go in. I had no idea what a fantastic dentist was until I met the doctors! You all are superstars! Don't put your appointment off for one more day! This is the place! Thanks to everyone at the office, you guys are like family now!
View On GoogleWe Offer Emergency Dentistry Visit Us for Timely Treatment
If you have damaged a tooth or experiencing pain our dental team will try to fit you in for an emergency appointment. Using CEREC dental crowns, implants, and other services, we can restore your smile and oral health, sometimes even in one day. To get started, send us a message or request a consultation.
A Real Patient's Experience With a Dental Crown
"I had to have a new crown put on as it had a cavity underneath. They put on the temporary and I didn’t even know I had it on. When I went back to get the permanent crown I went in at 7:30, got right in and Doctor Mark is such a perfectionist that after the anesthetic wore off it was like I had never been in to see him. Since I am a bit older I have always had a slight fear of dentists but now it is very easy and routine for me." Jerry Green
Are Crowns Eligible For Dental Insurance?
Yes, they are, since they're crucial for your health and oral function. If you have a dental insurance plan in place, our team will help you take advantage of any eligible benefits to help make treatment more affordable and convenient.
Additional Ways to Cover the Cost Of Your New Dental Crown
Our practice also has several other options to help you afford your new crown. They include:
Dental Financing
Don't have insurance? Need a little assistance? We accept financing through CareCredit® or join our Link to Smiles Membership Plan today. That way, you can pay for your crown over time, without stressing about the costs.
Cash, Card, or Check
At our Centennial office, you're welcome to pay with cash or check, as well as with credit cards from American Express, Discover, MasterCard, and Visa.
Free Consultations
To make your decision easier, we offer free, no-obligation second opinions. After all, you deserve to feel fully confident in your choice of dentist.
Bitcoin
We like to explore advances in dentistry — and in other fields too. One example? The fact that we accept Bitcoin to cover any of your dental treatments.
Receiving Your Dental Crown What to Expect During Your Appointment
Our goal is to make you feel comfortable during each visit, in control of your health decisions, and cared for every moment you're with us.
How Long Do Crowns Last?
/
When cared for properly, porcelain crowns can last for 15 years or longer. To provide our patients with strong yet stunning crowns, we invest in materials like zirconia and porcelain. We'll also educate you thoroughly, so you can do your part to maintain your new restoration.
Caring for Your Crown

Be Mindful of Harmful Habits
While your crown is made from durable materials that can withstand natural chewing forces, it can still become damaged. Avoid using your teeth as tools and wear an oral appliance if you have bruxism (teeth grinding).

Follow an Oral Hygiene Routine
While porcelain can't decay, the tooth beneath your crown can. You must still abide by an oral care routine that involves brushing, flossing, and using mouthwash.

Attend Routine Checkups
Regular checkups with our dentists in Centennial will allow them to examine each tooth, maintain your oral health, stop problems before they become serious, and tell you when it's time for a new crown.
We're Appreciated For Our Technology, Treatments, and Results
I've been to several dentists around the south Denver area. By far the best dentists I've seen. Highly recommend.
View On GoogleIncredibly thorough and pleasant experience..and my smile looks great. They are always up to date on the newest and best treatment options!
View On GoogleFrequently Asked Questions
Which materials are used to make your crowns?
Our Centennial dentistry practice uses materials like IPS e.max®, empress, zirconia, and porcelain, so your crown can be customized based on where it will be placed and how you want it to look.
How long will it be until I can get a crown?
We know how stressful — and even uncomfortable — it can be waiting for a crown. One of the big benefits of choosing our practice is the fact that you can often leave your first appointment with either a permanent CEREC crown or a temporary crown. Plus, we handle emergencies so we'll always work to get you in as quickly as possible.









