Veneers
Dental flaws like chips, cracks, and discoloration can make you feel self-conscious and hide your smile.
Veneers are thin, custom-made shells that fit over the front surfaces of teeth to conceal these flaws and boost your confidence.
See how Drs. Thomas Reed, Mark, and Jean Link at Link Dental in Centennial, CO, can upgrade your smile with veneers.
What Are Veneers?

A veneer is a thin shell that is used to conceal a tooth that has a cosmetic concern. A veneer conceals this flaw and brings the tooth into better uniformity with the rest of the smile. Veneers are made from durable materials like porcelain that withstand normal biting forces and reflect light like natural teeth. The result is a smile that looks natural, yet free of cosmetic blemishes.
Our Centennial dental office is proud to improve the smiles of patients throughout Lone Tree, Littleton, Greenwood Village, Cherry Creek, Denver Tech Center, Lower Downtown, and beyond. Whether you have one problem tooth or several teeth that detract from the beauty of your smile, Drs. Thomas Reed, Mark Link , and Jean Link have the solution.
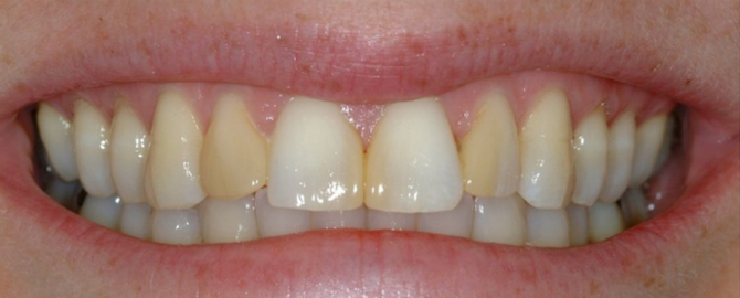
Custom Veneers Can Optimize the Appearance of Your Smile
Paying for Your Dental Veneers
Your dental insurance won't contribute to cosmetic dentistry procedures like veneers, but our Centennial office wants this life-changing procedure to be accessible to everyone. We do what we can to make paying for veneers easy, including accepting:
- Bitcoin
- Cash and check
- Major credit cards
- In-House Membership Plans
- Financing through CareCredit®
Am I a Good Candidate for Dental Veneers?
Have Good Oral Health
Veneers require a healthy foundation so your mouth must be free of gum disease, cavities, and other oral health concerns before you can receive them. Our Centennial office performs a wide range of general, restorative, and cosmetic dentistry treatments. We'll have everything you need to improve your oral health before receiving veneers.
Have Sufficient Enamel
A small amount of enamel must be removed from each tooth that's being treated to allow for a natural-looking result. Therefore, patients must have sufficient enamel to receive dental veneers.
Can Commit to Treatment
Veneers will eventually need to be replaced, meaning you'll have to undergo the process again. Additionally, a small amount of enamel has to be removed before our dentist can place veneers, so patients must commit to having some kind of restoration on each treated tooth for the rest of their lives.
Nervous About Treatment?
Our Dentists Offer Sedation
While many patients are comfortable undergoing the dental veneer process with just local anesthetic, some patients are nervous about the step that removes enamel from the tooth. Drs. Thomas Reed, Mark Link, and Jean Link all have sedation licenses so patients can undergo treatment in a state of deep relaxation.

Placing Veneers: The Step-by-Step Process
Veneers are an easy way to dramatically enhance your smile in just two appointments.
A Real Patient's Experience With Veneers
Maintaining Your Dental Veneers and Your New Smile

Care for Your Oral Health
Abiding by an oral hygiene routine will help keep your mouth and teeth healthy enough to support your porcelain veneers. Be sure to brush twice a day, floss once a day, and use mouthwash.

Avoid Certain Foods
Hard, tough, and sticky foods can damage your teeth and veneers, or pull your veneers out of place completely. We recommend taking care when eating these foods, and ideally chewing them in areas of your mouth that haven't received veneers. You should also try to minimize foods and drinks that stain, as they can discolor your untreated teeth.

Attend Dental Checkups
Routine checkups with Drs. Thomas Reed, Mark and Jean Link at Link Dental will go a long way toward maintaining your oral health. Our dentists will also keep an eye on your veneers and let you know when it's time to replace them.
"At Link Dental, our goal is to make you feel comfortable during each visit, in control of all your health decisions, and cared for every moment you're with us."







