Smile Makeover Centennial, CO
“I'd give 10 stars if I could!”
— 5-Star Review
- Comprehensive Treatments
- 200+ Positive Reviews
- Calming Sedation
Refine Your Teeth With a Personally Designed Plan


Your smile can drastically impact your confidence. If you're tired of hiding your teeth due to concerns like staining or chips, our team may be able to help you with a smile makeover.
A smile makeover is a custom cosmetic dentistry plan designed with you in mind. Our team can use a combination of clear aligners, braces, veneers, dental bonding, teeth whitening, and more to truly transform your teeth in this streamlined treatment plan.
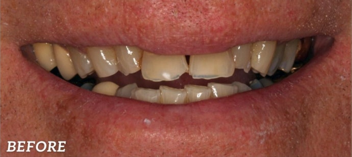
Wondering just how a smile makeover can rejuvenate your teeth? These real before and after photos that we've gathered from a happy Centennial, CO, patient speak for themselves.
Each treatment used in a smile makeover plan is tailored to your teeth. In this case, our dentists were able to refresh this patient's smile by addressing common concerns like discoloration, broken teeth, and worn enamel.
Link Dental Makes It Easier to Refine Your Smile Explore the Benefits During Your Consultation



Centennial Patients Appreciate Our Dentists
“The best dental experience, from beginning to end. Great team of professionals, who are a delight, Jenna, Amy, Lori and of course Dr. Reed. I have seen Dr Reed for 20+ years, and he continues to up level the entire dental experience!!”
— Vickie, 5-Star Review
Our Reputable Dental Affiliations
A Smile Makeover Can Give You Bright, Uniform, and Healthy Teeth
How Do I Know If a Smile Makeover Is Right for Me?
You Have Strong Teeth
It's important to have fully intact, healthy teeth before your smile makeover, especially if you're seeking a treatment like veneers. Our dentists prioritize your health and will recommend restorative dentistry services if you're not currently a candidate for cosmetic dentistry.
You Have Healthy Gums
The health of your gums is just as important as the health of your teeth. If you have gingivitis or gum disease, you'll need treatment before you're eligible for a smile makeover.
You Have Cosmetic Concerns
Smile makeovers are intended to refresh the appearance of your teeth, refining common cosmetic insecurities like spacing, sizing, and discoloration. They typically aren't meant to improve your oral health, and any functional concerns must be addressed first.


Explore Your Options
Book a Smile Makeover Consult Today
If you are dealing with multiple cosmetic concerns and want a truly personalized solution, a smile makeover may be the ideal path forward. At Link Dental, we design custom treatment plans that reflect your specific goals, timeline, and comfort level. Every step of your makeover is handled by our highly experienced dentists who use advanced techniques and a supportive, patient-first approach to deliver results that look and feel natural.
Choosing a smile makeover is a big decision, and our team is here to make the process simple and stress-free. From your initial consultation to your final appointment, you can expect clear communication, a comfortable environment, and expert care focused entirely on your needs. Whether you are seeking subtle refinements or a dramatic transformation, we will help you achieve the smile you have always wanted.
Contact our Centennial, CO, dental office today to schedule your personalized smile makeover consultation.
Your Smile, Your Vision
No two smiles are the same. At Link Dental in Centennial, we take time to understand what a beautiful smile means to you. Whether your ideal look is subtle and natural or bold and dramatic, we’ll walk you through your treatment options, show mockups of potential results, and create a makeover plan that supports your lifestyle and long-term goals. This collaborative approach ensures you are confident and excited at every stage of the process.
Giving Centennial a Reason to Smile
“I recently changed to Link Dental and I have to highly recommend this office to anyone looking for great dental care! I really appreciated that level of professionalism and feeling like I was receiving personalized service. I'd give 10 stars if I could!!!”
— Colin, 5-Star Review
Improve Candidacy With Restorative Care
/
With options like periodontal care, crowns, bridges, dentures, and dental implants, we can improve the health and functionality of your smile before your smile makeover. Once we finish your restorative treatment, like dental implant placement and implant-supported restorations, we can plan your smile makeover.
Are Smile Makeovers Eligible for Insurance?
Most smile makeover procedures are cosmetic, like teeth whitening and veneers, so they won't be eligible for insurance. However, if you are considering adding clear aligners or FASTBRACES® to your plan, you'll be happy to know that they may be partially covered by insurance because they benefit your health by making it easier to clean your teeth and gums.
Our Centennial team is happy to file with your insurance provider to see if you can receive any reimbursement.
Smile Makeover Overcoming Fluorosis
Featured Smile Makeover Options at Link Dental
At our Centennial office, we can refresh your smile using popular cosmetic dentistry treatments like:

Porcelain Veneers
If you have several insecurities you want to refine at once, like deep discoloration, misshapen teeth, or chips, porcelain veneers can transform your smile. We can place these lifelike shells over one tooth or all your front teeth to bring uniformity to your smile. They can also be paired with treatments like whitening.

Invisalign
You don't need bulky metal braces to straighten your teeth, thanks to Invisalign. These clear, removable trays gently guide your teeth into alignment over 12-18 months. For faster results, we can conduct surgically assisted Invisalign and accelerated orthodontics.

Teeth Whitening
Over time, our enamel may become discolored. With their weaker formulas, over-the-counter products can only do so much. Luckily, our dentists, Drs. Thomas Reed, Mark Link, and Jean Link, offer two different types of dentist-directed teeth whitening: in-office whitening and at-home whitening.
Our Full List of Cosmetic Dentistry Treatments
When searching for a cosmetic dentist, it's important to find a team that offers the right procedures for your smile. Luckily, we feature lots of options, such as:
- Clear Aligners
- Dental Bonding
- FASTBRACES
- Gum Contouring
- Invisalign
- Orthodontics
- Teeth Whitening
- Veneers
Earning Your Trust With Excellent Care
“Dr. Reed is an amazing dentist and even more importantly, an exceptional human! I have received dental services from Dr. Reed for nearly 20 years and I wouldn’t consider going to another dentist. He always puts patients first and expects the same mentality for everyone who works for him. He won't settle for anything less than the highest level of care. Highly recommend!”
— Jennifer, 5-Star Review







